PSMA-PET検査薬の合成装置を国産化、薬剤の安定製造に成功
大阪大学医学部附属病院は9月18日、前立腺がんの高精度画像診断として、国産PET薬剤合成装置を開発し、PET用薬剤「F-18 PSMA-1007」を用いた臨床研究を開始、従来の画像診断では同定できなかった再発・転移巣が検出できることがわかったと発表した。これは、同大大学院医学系研究科 泌尿器科(植村講師、野々村教授)の協力を得て、同病院 核医学診療科(加藤診療科長、下瀬川副診療科長)において、実施される。また、同薬剤は、阪大病院 短寿命放射性薬剤製造施設において、院内製剤として製造される(担当:仲薬剤師)。

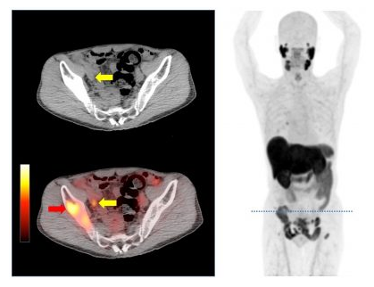
画像はリリースより
これまで、前立腺がんの再発・転移検索は主にCT検査や骨シンチグラフィーで実施されていたが、病変の検出感度が十分でないという課題があった。F-18 PSMA-1007を用いた PET臨床研究は、成人男性で前立腺がんと診断され、全身の転移検索を行う患者、または治療後に再発や転移が疑われる患者など50例を対象とし、F-18 PSMA-1007標識のPETおよびCT検査が行われる。従来の転移評価検査であるCTや骨シンチと比較して、PSMA-PETによる診断能を評価し、詳細な病態解明を行う。実施期間は2019年9月1日~2022年3月31日。1例目は2019年9月3日に行われた。
F-18 PSMA-1007は、独ハイデルベルク大学で開発され、PSMA(Prostate Specific Membrane Antigen、前立腺特異的膜抗原)に結合するように調整されたPET薬剤として有効性・安全性がすでに確立されている。PET検査の際には、加速器(サイクロトロン)で製造したPET用核種F-18(半減期:110分)をPSMA-1007に標識して、静脈内注射した後に撮影を行う。今回、阪大病院において、住友重機械工業との共同研究により、F-18 PSMA-1007標識合成装置の国産化ならびに、安定した製造に成功した。
治療前評価ツールとしても研究を展開予定
PSMAは、前立腺がんの治療ターゲットとして有効であり、治療用核種で標識することで、進行がんにおいても大きな治療効果が得られることが示されている。現在、欧州を中心にβ線放出核種であるルテチウム(Lu-177)標識PSMA製剤の治験が開始されている。同大では、産学共創プラットフォーム共同研究推進プログラム(JST)において、β線よりもがん治療効果の高いα線核医学治療の社会実装を目指しており、α線核種アスタチン(At-211)を用いたPSMA製剤の開発を行っている。
「今後、臨床研究で症例数を積み重ねて、どういったケースでF-18 PSMA-1007 PETが従来の画像診断よりも有用性が高いかを評価するとともに、将来的にはどのような患者でPSMA治療が有効となり得るかといった治療前評価ツールとしても研究を展開したい」と、研究グループは述べている。


