脳内の鉄沈着異常症NBIAの一型であるSENDA/BPAN
国立精神・神経医療研究センター(NCNP)は5月30日、脳内の鉄沈着異常症であるNBIAの一型のSENDA/BPANにおける小児期の頭部MRI画像の特徴として、淡蒼球、黒質の対称性の腫大、高信号が一過性に出現することを世界で初めて明らかにしたと発表した。この研究は、NCNP病院小児神経診療部の佐々木征行部長および石山昭彦医長、放射線診療部の佐藤典子部長、神経研究所疾病研究第一部の西野一三部長らのグループによるもの。研究成果は「Neurology」オンライン版に掲載された。

画像はリリースより
NBIAは、中枢神経における鉄沈着が生理的範囲を超えて沈着してくる疾患群。SENDA/BPANはNBIAの一型で、2010年前後に新たに提唱されてきた病型だ。小児期から精神運動発達遅滞が認められるものの、数十年間は非進行性に経過するため、小児期では脳性麻痺や原因不明の発達障害と診断されている例も多いといわれている。その一方、成人期では、20~30歳代になるとジストニア、パーキンソニズムが発症し、頭部MRI画像においても淡蒼球、黒質に鉄沈着を反映した所見を呈してくることも知られている。しかし、これまで小児期では、非進行性で特徴的な臨床症状はなく、検査所見でも頭部MRI画像を含め特徴的な所見を示さないとされてきた。
SENDA/BPANは、2013年にオートファジーの調整因子であるWDR45の遺伝子変異があることが見い出され、オートファジーの異常により神経変性が生じてくることが明らかになってきた。しかし、小児期の非進行期の病態や臨床的特徴についてはよくわかっていない部分が多い。
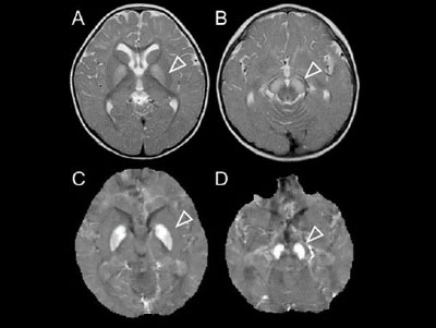
発熱に伴う痙攣重積・群発後に一過性の淡蒼球、黒質に高信号
研究グループは、同院小児神経科に通院中の患児で、幼児期に発熱に伴い痙攣重積、痙攣群発をきたした3例において、痙攣後に頭部MRI画像を撮像。その結果、頭部MRI画像に淡蒼球、黒質の対称性の腫大、高信号を一過性に認めたという。頭部MRI画像のほか、ウイルス検査、細菌培養検査、乳酸、ピルビン酸や代謝異常といった種々の検査を行ったが、いずれの検査においても異常所見を認めなかったことから、神経疾患の可能性を疑い、次世代シークエンス解析を実施。その結果、NBIAの一型であるSENDA/BPANの原因遺伝子WDR45変異を同定したという。さらに、MRIで定量的な磁化率の解析である定量的磁化率マッピングQSM解析を行ったところ、淡蒼球、黒質への鉄沈着が確認され、SENDA/BPANの診断に矛盾がないことを証明したとしている。
以上の研究結果より、SENDA/BPANの小児期の特徴的なMRI画像所見として、発熱に伴う痙攣重積・群発後に一過性の淡蒼球、黒質に高信号があることが明らかになった。小児期には、普段はMRI画像で確認できるような淡蒼球、黒質の所見が確認できないものの、発熱時の痙攣重積・群発時には不耐が生じ浮腫像を呈したことが示唆され、同例の病態に関連している可能性が示されたという。今回の結果は、小児期の診断の新たな一助になりえることに加え、SENDA/BPANの新たな病態解明につながることが期待されると研究グループは述べている。


